Klinik Gigi Pilihan Keluarga

Layanan

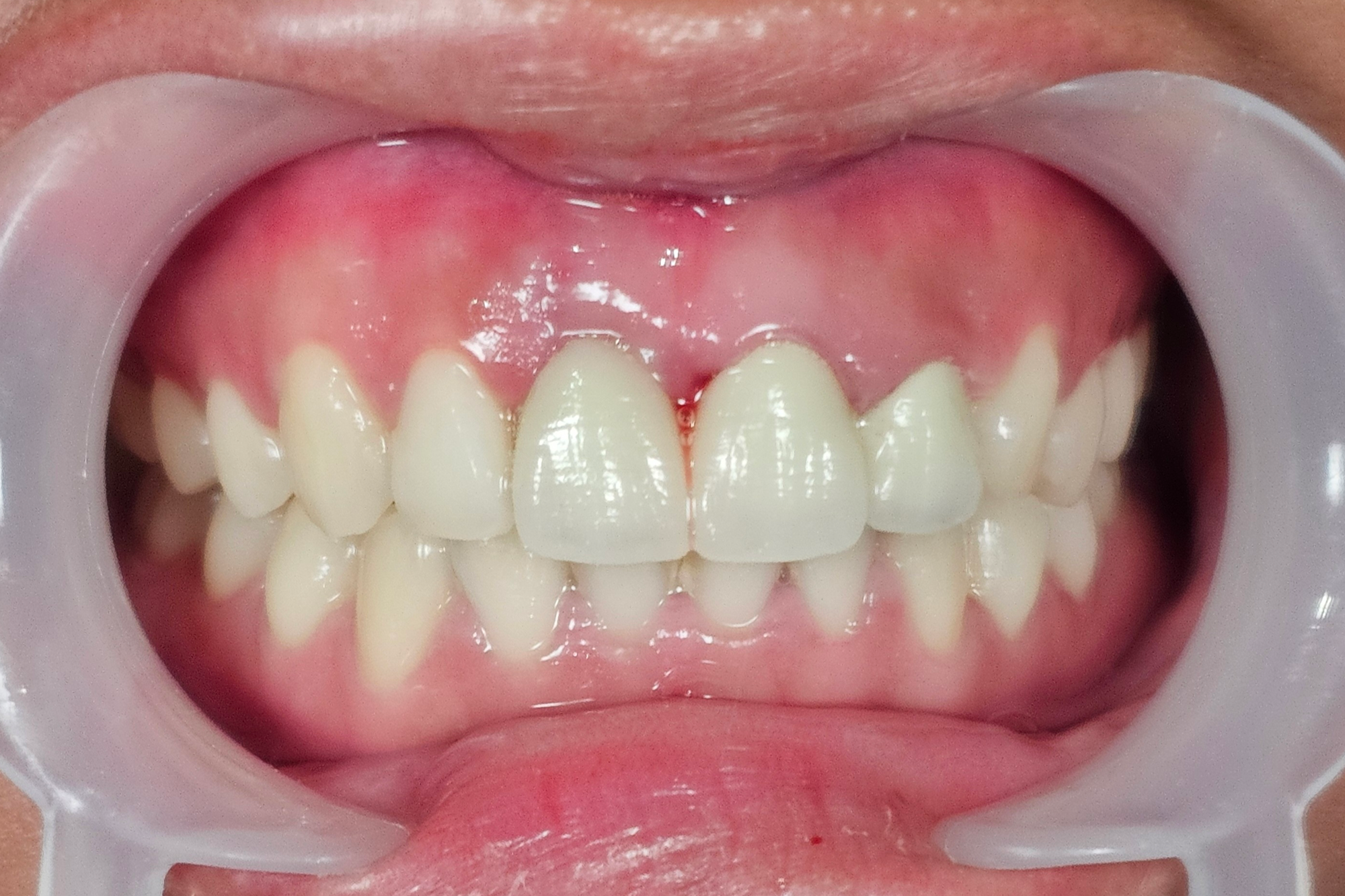
Bridge Gigi Depan

Bridge BeforeBridge After

Bridge gigi depan adalah salah satu pilihan perawatan untuk menggantikan gigi depan yang hilang. Perawatan ini dilakukan dengan cara memanfaatkan gigi di sebelah kiri dan kanan celah sebagai penyangga, lalu memasang gigi tiruan di tengahnya sehingga tampilan gigi kembali utuh.

Bridge gigi depan sering dipilih karena dapat membantu mengembalikan fungsi dan penampilan gigi dalam waktu yang relatif lebih cepat dibandingkan beberapa perawatan lain.

Hal yang perlu dipertimbangkan sebelum memilih bridge gigi depan:

Bridge gigi depan adalah solusi yang aman dan umum digunakan untuk menggantikan gigi depan yang hilang, terutama jika kondisi gigi penyangga mendukung. Tujuan utama perawatan ini adalah mengembalikan fungsi, kenyamanan, dan kepercayaan diri pasien.

Jika masih ragu apakah bridge gigi depan cocok untuk kondisi anda, konsultasikan terlebih dahulu dengan dokter gigi agar mendapatkan penjelasan dan pilihan perawatan yang paling sesuai.

Umma Dental Care

Merawat Senyum, Menumbuhkan Kepercayaan

Setiap perawatan kami lakukan dengan sabar dan penuh empati. Karena rasa tenang adalah bagian dari proses penyembuhan.

Artikel Lainnya

Maryland Bridge

Maryland Bridge

Layanan Maryland Bridge Pada kasus ini, pasien datang dengan kondisi kehilangan satu gigi…

Bridge Gigi Depan

Bridge Gigi Depan

Layanan Bridge Gigi Depan Bridge gigi depan adalah salah satu pilihan perawatan untuk…

Perawatan Saluran Akar dan Pasak Fiber

Perawatan Saluran Akar dan Pasak Fiber

Layanan Perawatan Saluran Akar (PSA) & Pasak Fiber Pada kasus ini, pasien datang…

Opening Umma Dental Care

Opening Umma Dental Care

Event Opening Lokasi Baru Umma Dental Care Ruko Sawangan Permai, Minggu, 15 Februari…