Maryland Bridge
Layanan Maryland Bridge Pada kasus ini, pasien datang dengan kondisi kehilangan satu gigi…

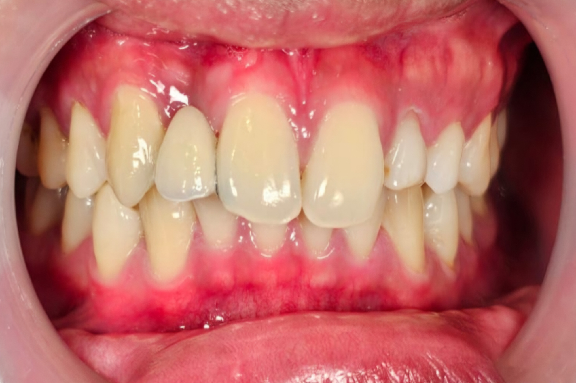
Pada kasus ini, pasien datang dengan kondisi kehilangan satu gigi di area depan, tepatnya gigi di sebelah gigi taring (Gigi 12). Akibatnya terlihat ruang kosong yang cukup besar di antara gigi seri dan gigi taring, terutama saat tersenyum atau berbicara.
Secara estetika, kondisi ini cukup mengganggu. Meskipun begitu, pasien tidak merasakan nyeri, dan jaringan gusi di area tersebut tampak rapi dan sehat.
Saat pemeriksaan awal, dokter menemukan bahwa ruang kosong terlihat cukup lebar, namun kondisi gusi sudah stabil dan tidak menunjukkan tanda peradangan. Gigi seri dan gigi taring di sekitar celah juga berada dalam kondisi baik.
Secara susunan alami, gigi seri seharusnya diikuti oleh gigi seri samping sebelum gigi taring. Karena itu, adanya celah besar langsung di antara gigi seri dan gigi taring bukanlah susunan gigi yang normal sejak awal.
Hal ini menimbulkan dugaan bahwa gigi 12 kemungkinan sebelumnya tumbuh tidak pada posisi ideal, misalnya gingsul atau keluar dari lengkung gigi, lalu hilang atau dicabut sejak lama. Karena kehilangan gigi sudah terjadi cukup lama, jaringan gusi telah beradaptasi dan tampak rapi hingga saat ini.
Dokter kemudian melakukan pemeriksaan lanjutan untuk menilai kondisi gigi penyangga dan jaringan sekitarnya. Karena gigi di sebelah celah masih sehat dan pasien menginginkan perawatan yang fokus pada kenyamanan serta penampilan, dipilih pendekatan yang tidak terlalu invasif dan tetap menjaga struktur gigi sehat.
Dalam perencanaan ini, tujuan utama perawatan adalah menutup ruang kosong, mengembalikan keseimbangan susunan gigi, serta menghasilkan tampilan yang menyatu secara alami dengan gigi di sekitarnya.
Perawatan dilakukan dengan pendekatan restoratif yang disesuaikan dengan kondisi pasien. Bentuk, ukuran, dan warna gigi pengganti direncanakan secara cermat agar menyatu dengan gigi seri dan gigi taring di sebelahnya.
Selama proses perawatan, dokter memastikan bahwa hasil akhir tidak hanya memperbaiki penampilan, tetapi juga tetap nyaman digunakan untuk aktivitas sehari-hari seperti berbicara dan mengunyah.
Setelah perawatan selesai, ruang kosong di antara gigi seri dan gigi taring berhasil ditutup dengan baik. Susunan gigi tampak lebih seimbang, senyum terlihat lebih rapi, dan pasien merasa lebih percaya diri.
Dari sisi jaringan, gusi tetap terlihat sehat dan natural karena perawatan dilakukan dengan mempertimbangkan kondisi awal yang sudah stabil.
Kasus ini menunjukkan bahwa ruang kosong di gigi depan tidak selalu disebabkan oleh kehilangan gigi yang baru terjadi. Pada beberapa kondisi, posisi gigi yang tidak ideal sejak awal, seperti gigi gingsul, dapat menyebabkan celah terlihat besar meskipun jaringan gusi tampak rapi.
Dengan pemeriksaan dan perencanaan yang tepat, kondisi seperti ini dapat ditangani tanpa harus mengorbankan gigi sehat di sekitarnya. Karena setiap kasus memiliki latar belakang yang berbeda, konsultasi dan pemeriksaan langsung oleh dokter gigi menjadi langkah penting sebelum menentukan pilihan perawatan.
Merawat Senyum, Menumbuhkan Kepercayaan
Setiap perawatan kami lakukan dengan sabar dan penuh empati. Karena rasa tenang adalah bagian dari proses penyembuhan.
Layanan Maryland Bridge Pada kasus ini, pasien datang dengan kondisi kehilangan satu gigi…
Layanan Bridge Gigi Depan Bridge gigi depan adalah salah satu pilihan perawatan untuk…
Layanan Perawatan Saluran Akar (PSA) & Pasak Fiber Pada kasus ini, pasien datang…
Event Opening Lokasi Baru Umma Dental Care Ruko Sawangan Permai, Minggu, 15 Februari…
Umma Dental Care adalah klinik gigi keluarga yang mengedepankan layanan profesional dengan suasana hangat dan menenangkan.
+62813-8160-9027
Senin :
08.00 - 20.00
Selasa :
08.00 - 20.00
Rabu :
08.00 - 20.00
Kamis :
08.00 - 20.00
Jumat :
08.00 - 20.00
Sabtu :
08.00 - 20.00
Minggu :
08.00 - 20.00
Copyright © 2026 Umma Dental Care All rights reserved.
Hubungi kami