Klinik Gigi Pilihan Keluarga

Layanan

Tambal Gigi

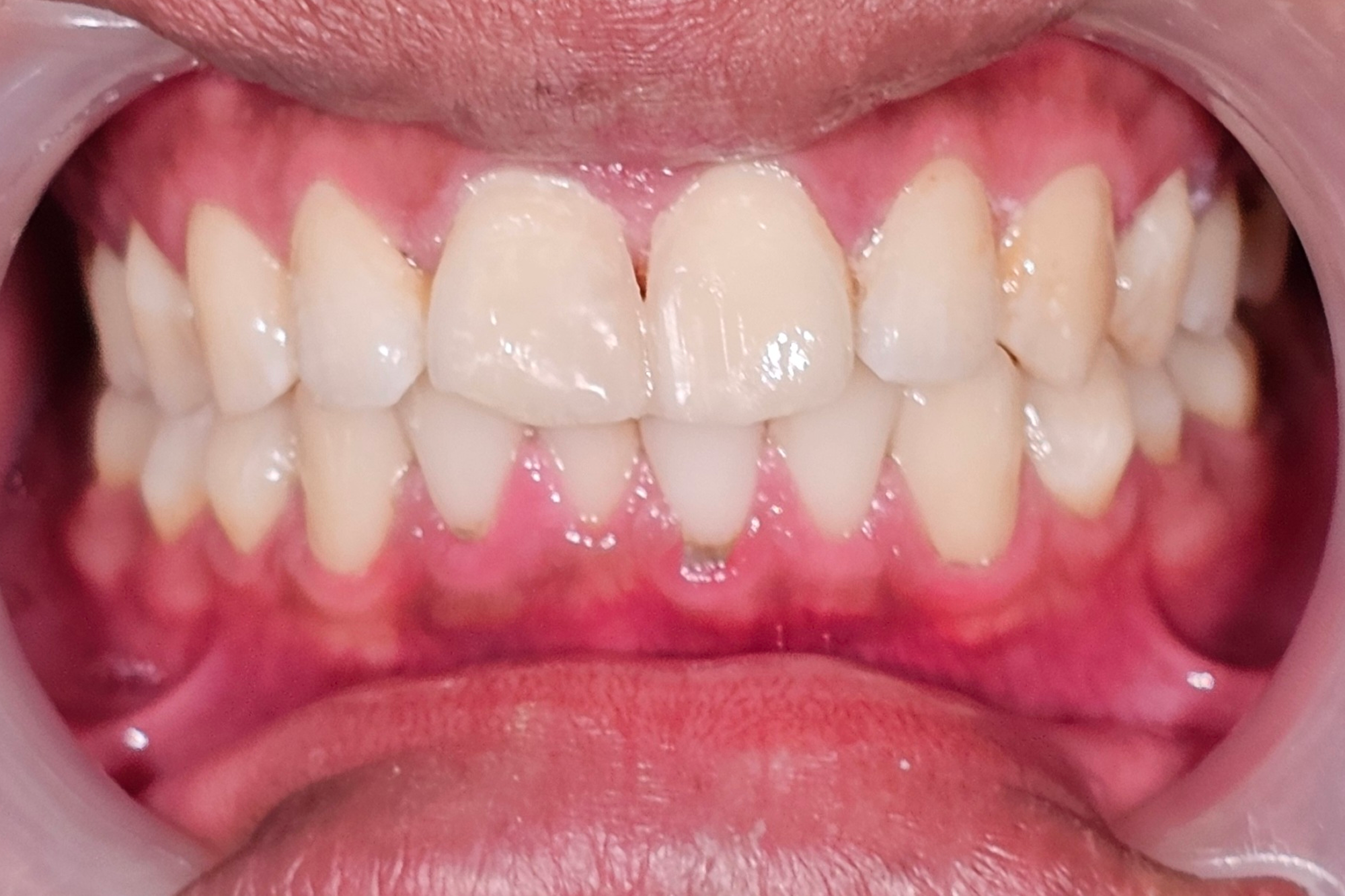
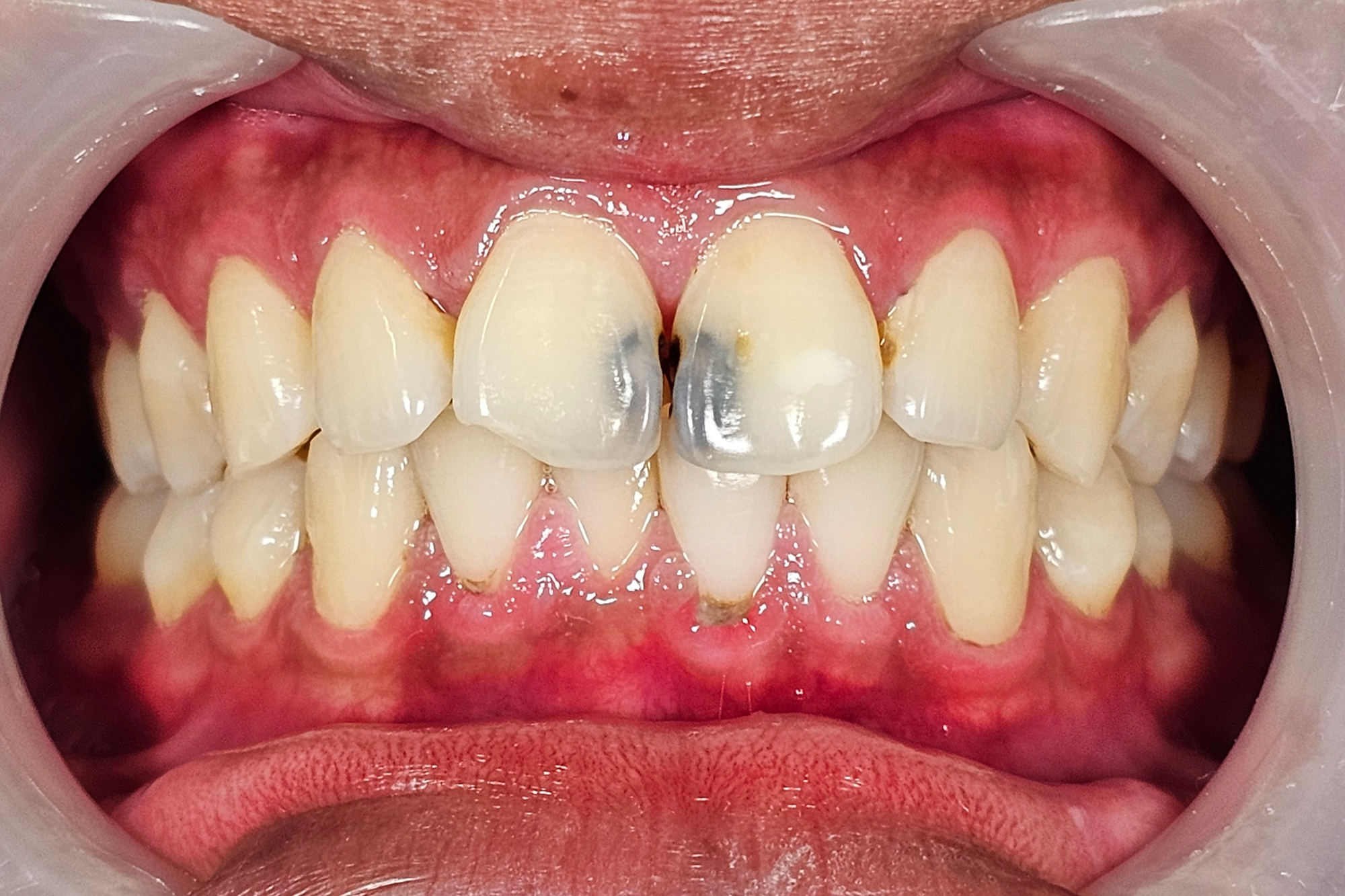
Tambal BeforeTambal After

Tambal gigi adalah perawatan untuk memperbaiki gigi yang berlubang atau rusak agar fungsinya kembali normal. Lubang pada gigi bisa terjadi karena sisa makanan, plak, atau kebiasaan membersihkan gigi yang kurang tepat.

Perawatan tambal gigi bertujuan mencegah kerusakan gigi bertambah parah dan menghindari rasa nyeri di kemudian hari. Semakin cepat ditangani, biasanya perawatannya juga lebih sederhana.

Hal yang perlu dipertimbangkan sebelum melakukan tambal gigi:

Tambal gigi adalah perawatan yang umum dan aman jika dilakukan oleh dokter gigi. Perawatan ini membantu mempertahankan gigi asli agar tetap dapat digunakan dengan nyaman.

Jika masih ragu apakah gigi perlu ditambal atau memerlukan perawatan lain, konsultasikan terlebih dahulu dengan dokter gigi untuk mendapatkan penjelasan yang sesuai dengan kondisi Anda.

Umma Dental Care

Merawat Senyum, Menumbuhkan Kepercayaan

Setiap perawatan kami lakukan dengan sabar dan penuh empati. Karena rasa tenang adalah bagian dari proses penyembuhan.

Continue reading

Maryland Bridge

Maryland Bridge

Layanan Maryland Bridge Pada kasus ini, pasien datang dengan kondisi kehilangan satu gigi…

Bridge Gigi Depan

Bridge Gigi Depan

Layanan Bridge Gigi Depan Bridge gigi depan adalah salah satu pilihan perawatan untuk…

Perawatan Saluran Akar dan Pasak Fiber

Perawatan Saluran Akar dan Pasak Fiber

Layanan Perawatan Saluran Akar (PSA) & Pasak Fiber Pada kasus ini, pasien datang…

Opening Umma Dental Care

Opening Umma Dental Care

Event Opening Lokasi Baru Umma Dental Care Ruko Sawangan Permai, Minggu, 15 Februari…